Diş Kanaması Nasıl Durdurulur?
Diş kanaması, birçok kişi için rahatsız edici bir durumdur ve çeşitli sağlık sorunlarının belirtisi olabilir. Bu makalede, diş kanamasının nedenleri, belirtileri ve durdurma yöntemleri ele alınacaktır. Ağız hijyeninin önemi ve tedavi yöntemleri hakkında bilgi verilecektir.
Diş kanaması, birçok kişi için rahatsız edici bir durumdur ve genellikle diş eti hastalıkları, travma veya ağız hijyeninin yetersizliği gibi nedenlerden kaynaklanır. Bu makalede, diş kanamasının nedenleri, belirtileri ve durdurma yöntemleri üzerinde durulacaktır. Diş Kanamasının NedenleriDiş kanamasının çeşitli nedenleri vardır. Bu nedenler arasında;
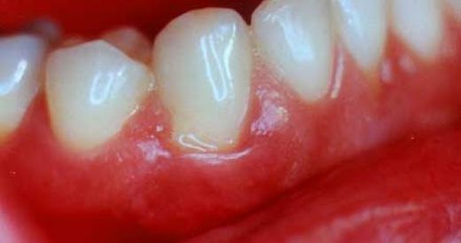
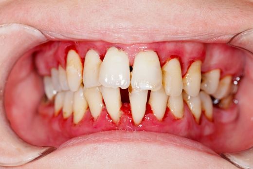
Bunlar, diş kanamasının başlıca nedenleridir. Her bir nedenin tedavi ve önleme yöntemleri farklılık gösterebilir. Diş Kanamasının Belirtileri Diş kanaması genellikle aşağıdaki belirtilerle kendini gösterir:
Bu belirtiler, diş kanamasının ciddiyetine bağlı olarak değişebilir. Eğer kanama sürekli bir hal alıyorsa, bir diş hekimine başvurulması önemlidir. Diş Kanamasını Durdurmanın Yöntemleri Diş kanamasını durdurmanın birkaç etkili yöntemi vardır:
Bu yöntemler, diş kanamasını durdurmada yardımcı olabilir, ancak kalıcı bir çözüm için diş hekimine başvurmak gereklidir. Ne Zaman Doktora Başvurulmalı? Diş kanaması belirli bir süre içerisinde durmuyorsa ya da kanama şiddetliyse, derhal bir diş hekimine başvurulmalıdır. Ayrıca;
Bu durumlar, profesyonel bir değerlendirme gerektiren önemli işaretlerdir. Sonuç Diş kanaması, çoğu zaman hafif bir durum olarak düşünülse de, altta yatan sağlık sorunlarının bir belirtisi olabilir. Ağız hijyenine dikkat edilmesi, sağlıklı bir diyetin benimsenmesi ve düzenli diş hekimi kontrollerinin yapılması, diş kanamasını önlemenin en etkili yollarıdır. Eğer diş kanaması yaşarsanız, yukarıda belirtilen yöntemleri deneyebilirsiniz; ancak durmadığı takdirde bir sağlık profesyoneline başvurmanız önemlidir. Bu makale, diş kanamasının nasıl durdurulacağına dair genel bilgiler sunmakta olup, kesin tanı ve tedavi için uzman görüşü alınması gerektiğini hatırlatmaktadır. |






































Dişlerimi fırçalarken diş etlerimde sürekli kanama oluyor, bu normal mi yoksa bir diş hekimine mi görünmeliyim?
Merhaba Tenay,
Dişlerini fırçalarken diş etlerinde sürekli kanama olması normal bir durum değildir. Bu durum genellikle diş eti iltihabı (gingivit) veya diş eti hastalığı (periodontit) gibi sorunların habercisi olabilir. En kısa sürede bir diş hekimine görünmeni tavsiye ederim. Erken teşhis ve tedavi ile daha ciddi sorunların önüne geçebilirsin. Sağlıklı günler dilerim!