Subdural Kanama Belirtileri ve Tedavisi
Subdural kanama, beyin zarları arasında kan birikmesi ile oluşan ciddi bir sağlık sorunudur. Kafa travması sonrası gelişebilir ve acil müdahale gerektirir. Bu yazıda, subdural kanamanın belirtileri, tanı yöntemleri ve tedavi seçenekleri hakkında bilgi verilmektedir.
Subdural Kanama Belirtileri Ve TedavisiSubdural kanama, beynin dışındaki zarların arasında kan birikmesi durumunu ifade eder. Genellikle kafa travması sonrası ortaya çıkan bu durum, acil tıbbi müdahale gerektiren ciddi bir sağlık sorunudur. Bu makalede, subdural kanamanın belirtileri, tanı yöntemleri ve tedavi seçenekleri ele alınacaktır. Subdural Kanama Nedir? Subdural kanama, beyin zarı (dura mater) ile beyin arasındaki boşlukta kan birikmesiyle oluşur. Bu durum, genellikle kafa travması sonucu meydana gelir ancak bazı durumlarda, kan damarlarının zayıflaması veya çeşitli hastalıklar da subdural kanamaya yol açabilir. Subdural Kanamanın Belirtileri Subdural kanamanın belirtileri, kanamanın şiddetine ve süresine bağlı olarak değişiklik gösterebilir. Genel olarak, aşağıdaki belirtiler gözlemlenebilir:
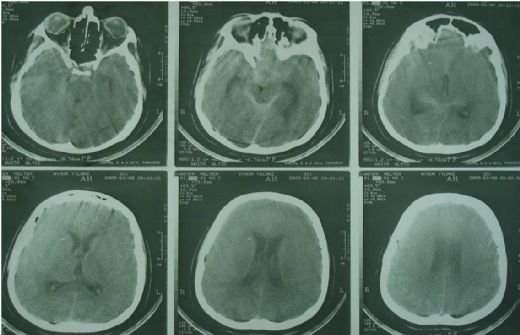
Bu belirtiler, subdural kanamanın acil bir durum olduğunu gösterir ve derhal tıbbi yardım alınması gerektiğini ifade eder. Tanı Yöntemleri Subdural kanamanın tanısı genellikle aşağıdaki yöntemlerle konulur:
Tedavi Seçenekleri Subdural kanamanın tedavisi, kanamanın boyutuna, nedenine ve hastanın genel sağlık durumuna bağlı olarak değişir. Tedavi yöntemleri şunlardır:
Sonuç Subdural kanama, acil bir durum olup, belirtilerinin fark edilmesi ve hızlı bir şekilde tıbbi müdahale yapılması hayati önem taşır. Erken tanı ve tedavi, hastanın iyileşme sürecini olumlu yönde etkiler. Bu nedenle, kafa travması geçiren bireylerde belirtilerin gözlemlenmesi ve gerekli tetkiklerin yapılması önem arz etmektedir. Ek Bilgiler Bu makale, subdural kanamanın belirtileri ve tedavi yöntemleri hakkında genel bir bilgi sunmayı amaçlamaktadır. Herhangi bir sağlık sorunu durumunda mutlaka bir sağlık profesyoneline başvurulması gerektiği unutulmamalıdır. |






































Subdural kanama geçiren birini tanıdığımda, durumun ciddiyetini ilk başta tam olarak algılayamadım. Ancak, bilinç kaybı ve kafa karışıklığı gibi belirtiler yaşandığında, içimde bir korku ve endişe hissettim. Bu tür durumların ne kadar tehlikeli olabileceğini biliyordum ama yakınımda yaşandığında daha da etkileyici oldu. Kişinin bir anda kendinden geçmesi ve etrafındaki her şeyin belirsizleşmesi, benim için oldukça sarsıcıydı. Tedavi sürecinde cerrahi müdahalelerin gerekli olduğunu öğrendiğimde ise, açıkçası içimde bir tedirginlik oluştu. Birinin bu kadar büyük bir operasyona girmesi, sonuçlarının ne olabileceği konusunda kaygı uyandırdı. Yaşın, komplikasyon ve ölüm riski üzerindeki etkisini düşündüğümde, daha genç bireylerin bu durumu atlatma şanslarının daha yüksek olduğunu bilmek beni bir nebze rahatlattı. Ancak yine de, sürecin zorluğu ve belirsizliği aklımı kurcaladı.
Cihanfer,
Durumun Ciddiyeti
Subdural kanama gibi durumlar, gerçekten de son derece ciddi sağlık sorunları arasında yer alıyor. Belirtilerin ilk başta fark edilmemesi, insanların bu tür durumların ciddiyetini anlamasını zorlaştırabiliyor. Bilinç kaybı ve kafa karışıklığı gibi belirtiler, acil müdahale gerektiren durumların habercisi olabilir.
Endişe ve Korku
Yakınınızın yaşadığı bu durum, doğal olarak endişe ve korku hissetmenize neden olmuş. Sevdiklerimizin sağlık sorunlarıyla karşılaşması, hepimizi derinden etkileyen bir durum. Bu tür olumsuz durumlarla yüzleşmek zor olsa da, duygularınızı ifade edebilmek önemli bir adım.
Cerrahi Müdahale
Cerrahi müdahalelerin gerekliliği, elbette ki tedirginlik yaratabilir. Ancak, bu tür işlemler genellikle hayat kurtarıcıdır ve uzman hekimler tarafından yapılmaktadır. Bu süreçte, doktorların bilgi ve deneyimlerine güvenmek önemlidir. Ayrıca, bu tür durumlarda hastanın yaşı ve genel sağlık durumu, iyileşme sürecinde büyük rol oynar.
Genç Bireyler ve İyileşme Süreci
Genç bireylerin daha yüksek iyileşme şansına sahip olduğunu bilmek, bir nebze olsun rahatlatıcı olabilir. Bu bilgi, durumun gelişimi hakkında daha olumlu bir perspektif sunabilir. Ancak, her bireyin durumu kendine özeldir ve iyileşme süreci değişkenlik gösterebilir.
Sonuç olarak, bu tür olaylar karşısında hissettiğiniz duygular son derece normaldir. Sevdiklerinizin sağlık durumu hakkında bilgi sahibi olmak, endişelerinizi azaltmaya yardımcı olabilir. Onlara destek olmak ve bu zorlu süreçte yanlarında olmak, hem sizin hem de onların psikolojik olarak daha iyi hissetmesine yardımcı olacaktır.
Subdural kanama geçiren birini tanıdığınızda, bu durumun ciddiyetini nasıl algıladınız? Belirtilerinin kendini gösterdiği anlarda, bilinç kaybı ve kafa karışıklığı gibi durumların yaşanması sizi nasıl etkiledi? Ayrıca, tedavi sürecinde cerrahi müdahalelerin gerekli olduğunu öğrendiğinizde, bu konuda hissettikleriniz nelerdi? Yaşın, komplikasyon ve ölüm riski üzerindeki etkisini düşündüğünüzde, daha genç bireylerin bu durumu atlatma şanslarının daha yüksek olduğunu bilmek sizi rahatlattı mı?
Subdural Kanama ve Ciddiyeti
Süveybe, subdural kanama durumu ciddiyeti ile her zaman dikkate alınması gereken bir durum. Tanıdığınız birinin böyle bir durumla karşılaşması, oldukça endişe verici bir durum. Belirtilerin aniden ortaya çıkması, bilinç kaybı ve kafa karışıklığı gibi durumlar, durumu daha da korkutucu hale getiriyor. Bu tür belirtiler, kişinin hayati tehlikesinin olduğunu düşündürüyor ve bu da derin bir kaygı yaratıyor.
Tedavi Süreci ve Cerrahi Müdahale
Cerrahi müdahale gerekeceğini öğrendiğinizde, bu durumun ciddiyetini bir kez daha anlamış oluyorsunuz. Cerrahinin gerekliliği, durumu daha da ciddi ve acil hale getiriyor; bu da insanı kaygılandırıyor. Ancak, müdahalenin gerekliliği aynı zamanda bir umut ışığı da sunuyor. Cerrahinin durumu düzeltme potansiyeli, bir nebze olsun rahatlatıyor.
Yaş, Komplikasyon ve Ölüm Riski
Yaşın, komplikasyon ve ölüm riski üzerindeki etkisini düşündüğünüzde, daha genç bireylerin bu durumu atlatma şanslarının daha yüksek olduğunu bilmek, bir nebze olsun iç huzuru sağlıyor. Gençlerin daha sağlıklı bir vücut yapısına sahip olmaları, iyileşme süreçlerini olumlu yönde etkileyebiliyor. Bu bilgi, hem umut verici hem de durumu değerlendirme açısından önemli bir perspektif sunuyor.